CASE AT A GLANCE
Pelvic Mass Treated w/ Irreversible Electroporation (IRE)
Illustrated Verdict, Inc. © All rights reserved.
Case Overview:
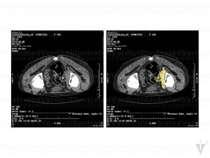
A 78-year-old woman with a history of infiltrating endometriosis presented with persistent, chronic pelvic, back, and flank pain. An MRI revealed a right-sided pelvic endometrioma mass, which encapsulated the right ureter and involved her pelvic nerves. She had a stent placed in the right ureter, and unfortunately, the pain increased. She underwent a CT-guided IRE as treatment. Post treatment, she felt pain in her right foot extending up her calf, and she experienced limited feeling in her right toes, foot, or ankle. A month after the procedure, her right pelvic, back, and flank pain had resolved, but she continued to have right leg paresthesia (pins and needles with numbing sensation). Unfortunately, nerve damage was a risk of the procedure. The jury found in favor of the defense.
